Division focus

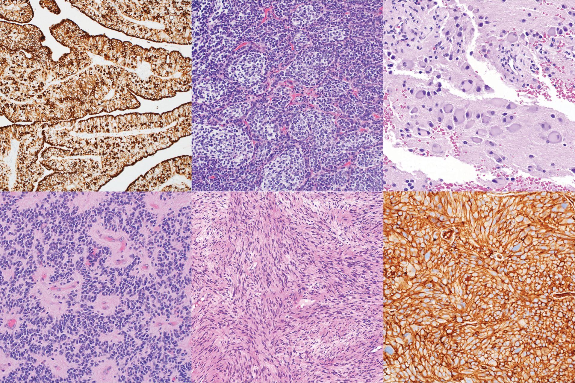
The Division of Anatomic Pathology & Neuropathology provides expert histopathological diagnoses for pediatric brain and solid tumors, guiding clinical decision-making and patient care. Our faculty play a central role in clinical trials, applying advanced diagnostics and providing rigorous pathology review to support research protocols and patient stratification. Translational research in the division focuses on refining tumor classification and risk stratification through integration of histomorphology with molecular technologies, including clinical sequencing and DNA methylation profiling. These efforts enhance diagnostic accuracy, improve prognostic models and drive innovations in precision medicine for childhood cancers.

Division Resources

  • Anatomic Pathology Laboratory
  • Anatomic & Neuropathology Translational Research Support (ANTS) Lab
  • Computational Pathology Resource

Director

Faculty

  • View Details

    Karen Arispe Angulo, MD

    Assistant Member, St. Jude Faculty

    Karen Arispe Angulo, MD

    Assistant Member, St. Jude Faculty

    Research Interests

    • Classification of emerging bone and soft tissue neoplasms integrating current and innovative methods
    • Evaluation of pediatric solid tumors associated with cancer predisposition syndromes
    • Discovery of molecular biomarkers for treatment of sarcomas clinically recurrent/refractory to conventional therapies
    • Collaborative projects with St. Jude Global Programs

    Contact Information

    Karen Arispe Angulo, MD

    Pathology

    MS 250

    St. Jude Children’s Research Hospital

    St. Jude Children’s Research Hospital

    Memphis, TN 38105-3678

  • View Details

    Jason Cheng-Hsuan Chiang, MD, PhD

    Associate Member, St. Jude Faculty

    Jason Cheng-Hsuan Chiang, MD, PhD

    Associate Member, St. Jude Faculty

    Research Interests

    • Diagnosis and classification of pediatric central nervous system neoplasms
    • Molecular drivers and markers of pediatric central nervous system neoplasms

    Contact Information

    Jason Cheng-Hsuan Chiang, MD, PhD

    Pathology

    MS 250, Room C5024A

    St. Jude Children's Research Hospital

    262 Danny Thomas Place

    Memphis, TN 38105-3678

  • View Details

    David W. Ellison, MD, PhD, FRCP, FRCPath, FRCPCH

    Member, St. Jude Faculty

    Chair, Department of Pathology

    Director, Neuropathology

    Joan and Roy Gignac Endowed Chair in Pathology & Laboratory Medicine

    David W. Ellison, MD, PhD, FRCP, FRCPath, FRCPCH

    Member, St. Jude Faculty

    Chair, Department of Pathology

    Director, Neuropathology

    Joan and Roy Gignac Endowed Chair in Pathology & Laboratory Medicine

    Research Interests

    • The diagnosis and classification of childhood nervous system tumors
    • Molecular markers of biologic behavior in childhood nervous system tumors
    • The biology of ependymoma

    Contact Information

    David W. Ellison, MD, PhD, FRCP, FRCPath, FRCPCH

    Pathology

    MS 250, Room C5001

    St. Jude Children's Research Hospital

    262 Danny Thomas Place

    Memphis, TN 38105-3678

  • View Details

    Selene Koo, MD, PhD

    Associate Member, St. Jude Faculty

    Selene Koo, MD, PhD

    Associate Member, St. Jude Faculty

    Research Interests

    • Diagnosis and classification of pediatric solid tumors
    • Histologic and molecular characterization of pediatric solid tumors

    Contact Information

    Selene Koo, MD, PhD

    Pathology

    MS 250, Room C5032

    St. Jude Children's Research Hospital

    262 Danny Thomas Place

    Memphis, TN 38105-3678

  • View Details

    Julieann C. Lee, MD, MS

    Assistant Member, St. Jude Faculty

    Julieann C. Lee, MD, MS

    Assistant Member, St. Jude Faculty

    Research Interests

    • Mutational and methylation profiling of pediatric brain tumors 
    • DICER1 mutant CNS tumors and DICER1 syndrome 
    • Molecular alterations of pineal parenchymal tumors and pineoblastomas  
    • Clinicopathological and molecular features of rare and emerging brain tumor entities

    Contact Information

    Julieann C. Lee, MD, MS

    Pathology

    MS 250, Room C5001A

    St. Jude Children's Research Hospital

    262 Danny Thomas Place

    Memphis, TN 38105-3678

  • View Details

    Faizan Malik, MD

    Assistant Member, St. Jude Faculty

    Faizan Malik, MD

    Assistant Member, St. Jude Faculty

    Research Interests

    • Morphologic and molecular characterization of bone and soft tissue sarcomas and pediatric solid tumors
    • Diagnostic and prognostic biomarkers in solid tumors
    • Utilizing novel methodologies for improved pediatric solid tumor classification

    Contact Information

    Faizan Malik, MD

    Pathology

    MS 250, Room C5031

    St. Jude Children's Research Hospital

    262 Danny Thomas Place

    Memphis, TN 38105-3678

  • View Details

    Teresa Santiago, MD

    Associate Member, St. Jude Faculty

    Lead, Global Anatomic Pathology, St. Jude Global

    Teresa Santiago, MD

    Associate Member, St. Jude Faculty

    Lead, Global Anatomic Pathology, St. Jude Global

    Research Interests

    • Laboratory quality improvement and assessment in developing countries
    • Coagulopathies
    • Solid tumors of childhood

    Contact Information

    Teresa Santiago, MD

    Pathology

    MS 250, Room C5030

    St. Jude Children's Research Hospital

    262 Danny Thomas Place

    Memphis, TN 38105-3678

Staff

  • View Details

    Julie Jeschke

    Manager Anatomic Pathology

  • View Details

    Lane Faughnan

    Senior Program Manager – Clinical Trial Operations

Tierney Knox
Supervisor
Anatomic Pathology

Join us

St. Jude investigators have the freedom to focus on making big discoveries, backed by extraordinary resources and support teams. We are always looking for highly motivated scientists and engineers with passion and talent to join us!

Explore career opportunities in Pathology

We are currently recruiting!